เฮสนั่น อดีตพระเอกดัง ประกาศข่าวดีเบบี๋ มาแล้ว
เรียกว่าเป็นอดีตพระเอกหนุ่มยุค 90 ที่ผันตัวออกจากวงการ สำหรับ เปปเปอร์ UHT หรือ เปปเปอร์ รัฐศาสตร์ กรสูต ปัจจุบันดำรงตำแหน่งรองผู้อำนวยการใหญ่สำนักงานส่งเสริมเศรษฐกิจดิจิตอล(DEPA) ซึ่งเป็นหน่วยงานในสังกัดกระทรวงดิจิทัลเพื่อเศรษฐกิจและสังคม


มีชื่อเสียงด้านวิชาการและการบริหารด้าน IT และ Digital จากหน่วยงานภาครัฐและเอกชน และเป็นอาจารย์สอนอยู่ที่ วิทยาลัยนวัตกรรม มหาวิทยาลัยธรรมศาสตร์

วิทยาลัยนานาชาติ มหาวิทยาลัยกรุงเทพ, สาขาวิชา Computer Business หลักสูตรบริหารธุรกิจภาคภาษาอังกฤษ มหาวิทยาลัยเกษมบัณฑิต รวมถึงเป็นผู้บริหารบริษัทไอที ด้วย
ทางด้านความรัก เปปเปอร์ ได้เข้าประตูวิวาห์กับแฟนสาวนอกวงการเมื่อ 4 ปีก่อน กระทั่งล่าสุด เปปเปอร์ ได้ออกมาโพสต์ข่าวดี

ให้แฟนๆได้ทราบว่า “Celebrating our 4th wedding anniversary! 🎉🎉❤️❤️ Huge thanks to my wife for all the love and care you’ve given me over the years.

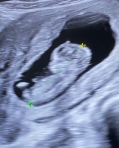
This might just be our anniversary as a duo but from the next year, we’ll have a new little member joining the family! 👼🏻

Life’s about to get a whole lot busier, but I know our love will only keep growing stronger 💪🏻ขอบคุณเค้กน่ารักและอร่อยมากๆ 😊🎂จาก @sweetpetalcake ครับ”

(ฉลองวันครบรอบแต่งงานปีที่ 4 ของเรา! ขอบคุณภรรยา สำหรับความรัก และความห่วงใยที่คุณมอบให้ผมตลอดหลายปีที่ผ่านมา

นี่อาจเป็นวันครบรอบของเราในฐานะดูโอ้ แต่ปีหน้าเราจะมีสมาชิกตัวน้อยคนใหม่เข้ามาในครอบครัว! ชีวิตกำลังจะยุ่งมากขึ้น แต่ผมรู้ว่าความรักของเราจะแข็งแกร่งขึ้นเหมือนกัน)

ขอบคุณข้อมูล: dr_pepper15